Accueil
Le cabinet
L’équipe
Plan d'accès
Photos du cabinet
Urgences
Les + du cabinet
Les traitements
Orthopédie Dentofaciale
Orthodontie par gouttières d'alignement
Orthodontie pour enfants et adultes
Esthétique du sourire
Diagnostic bucco-dentaire
Cas clinique
Contact
Les
lundi
,
mardi
et
vendredi
9h-12h / 13h30-19h
Le
mercredi
9h-19h
Appeler
Localisation
9 bis, rue GALLIENI, 83400 Hyères
Disponible aujourd'hui de 9h à 12h et de 13h30 à 19h
+33 4 94 35 42 78
Accueil
Le cabinet
L’équipe
Plan d'accès
Photos du cabinet
Urgences
Les + du cabinet
Les traitements
Orthopédie Dentofaciale
Orthodontie par gouttières d'alignement
Orthodontie pour enfants et adultes
Esthétique du sourire
Diagnostic bucco-dentaire
Cas clinique
Contact
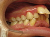
Cas clinique 1
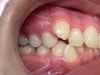
Cas clinique 2
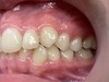
Cas clinique 3
Cas clinique 4
Cas clinique 5
CABINET D'ORTHODONTIE DU DOCTEUR SOPHIE DAUPLAIS
Accueil
Votre chirurgien-dentiste
Honoraires
Infos pratiques
Urgences
Prendre rendez-vous
Plan du site
Mentions légales
CGU
Création par
Connexion